Diseases
Acute Granulocytic Leukemia
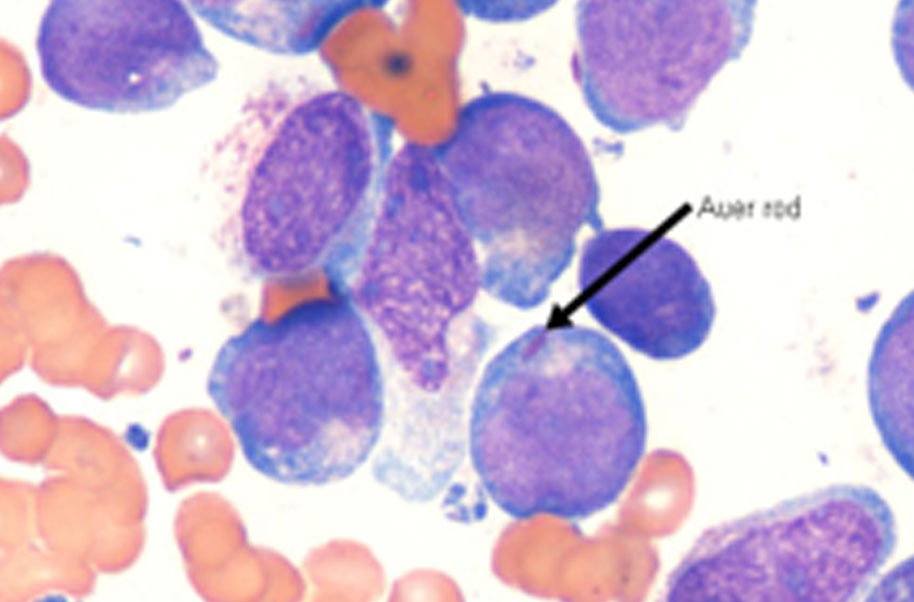
Acute myeloid leukemia (aml) is a cancer of the myeloid line of blood cells, characterized by the rapid growth of abnormal cells that build up in the bone marrow and blood and interfere with normal blood cells. ... As an acute leukemia, aml progresses rapidly and is typically fatal within weeks or months if left untreated.
SYMPTOMS
- Fatigue, fever, or loss of appetite
- Also common: bleeding, bruising, infection, pallor, red spots on skin, or shortness of breath
CAUSES
Acute myelogenous leukemia is caused by damage to the dna of developing cells in your bone marrow. When this happens, blood cell production goes wrong. Thebone marrow produces immature cells that develop into leukemic white blood cells called myeloblasts.
Chitradurga
Seebara, Behind Indian Oil Petrol Bunk, Basavakumara Swamy Mutt, Chitradurga - 577504
Kunigal
K Huraliborsandra, Gowdgere Post, Dhomratti Temple Road, Kunigal, Tumakuru District. - 572130
Bengaluru
36, KG Gollarapalya, Bolare (P), Kanakapura Road, Bengaluru - 560082
