Diseases
Acute Myelogenous Leukemia
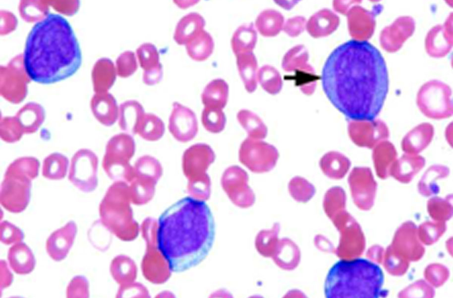
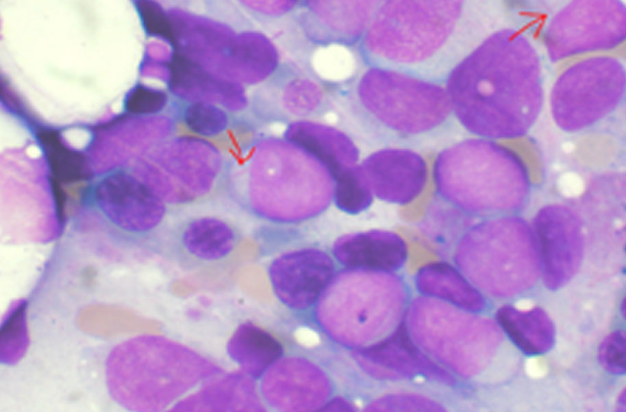
Acute myeloid leukemia (aml) is cancer that starts inside bone marrow. This is the soft tissue in the center of bones that helps form all blood cells. The cancer grows from cells that would normally turn into white blood cells. Acute Means the disease grows quickly and usually has an aggressive course.
SYMPTOMS
- People may experience:
- Whole body: fatigue, fever, or loss of appetite
- Also common: bleeding, bruising, infection, pallor, red spots on skin, or shortness of breath
CAUSES
Smoking. The only proven lifestyle-related risk factor for aml is smoking, certain chemical exposures, certain chemotherapy drugs, radiation exposure, certain blood disorders, genetic syndromes, family history, older age.
Chitradurga
Seebara, Behind Indian Oil Petrol Bunk, Basavakumara Swamy Mutt, Chitradurga - 577504
Kunigal
K Huraliborsandra, Gowdgere Post, Dhomratti Temple Road, Kunigal, Tumakuru District. - 572130
Bengaluru
36, KG Gollarapalya, Bolare (P), Kanakapura Road, Bengaluru - 560082
