Diseases
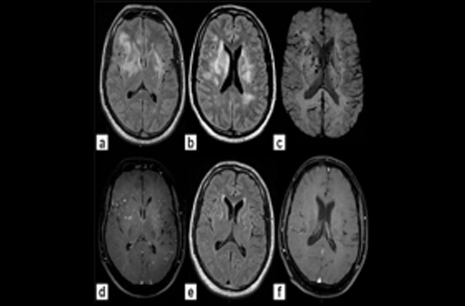
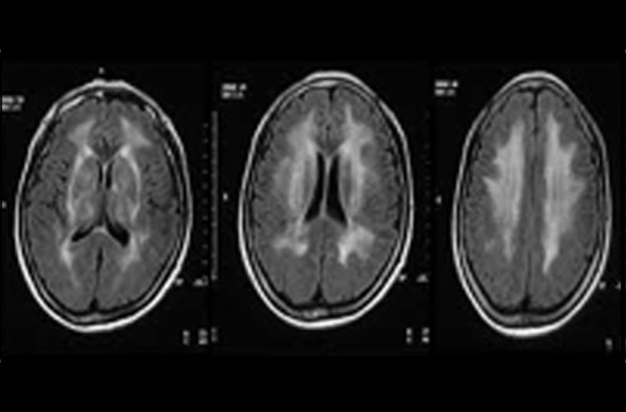
Subcortical Leukoencephalopathy
Binswanger's disease, also known as subcortical leukoencephalopathy, is a form of small vessel vascular dementia caused by damage to the white brain matter. White matter atrophy can be caused by many circumstances including chronic hypertension as well as old age.
SYMPTOMS
The symptoms associated with binswanger's disease are related to the disruption of subcortical neural circuits that control what neuroscientists call executive cognitive functioning:
- short-term memory,
- organization,
- mood,
- the regulation of attention,
- the ability to act or make decisions, and
- appropriate behavior.
The most characteristic feature of binswanger's disease is psychomotor slowness - an increase in the length of time it takes, for example, for the fingers to turn the thought of a letter into the shape of a letter on a piece of paper.
Other symptoms include:
- forgetfulness (but not as severe as the forgetfulness of alzheimer's disease),
- changes in speech,
- an unsteady gait,
- clumsiness or frequent falls,
- changes in personality or mood (most likely in the form of apathy, irritability, and depression), and
- urinary symptoms that aren't caused by urological disease.
CAUSES
Binswanger disease is primarily caused by atherosclerosis, thromboembolism and disorders in the blood vessels that supply the deep tissues of the brain. Other predisposing risk factors of binswanger’s disease include elevated cholesterol levels, heart disorders, diabetes, elevated blood pressure and history of smoking. Certain rare hereditary diseases such as cerebral autosomal dominant arteriopathy with subcortical infarcts and leukoencephalopathy (cadasil) may also lead to binswanger’s disease. Binswanger’s disease is not a specific disease. It is a clinical syndrome of a vascular dementia with multiple causes.
Chitradurga
Seebara, Behind Indian Oil Petrol Bunk, Basavakumara Swamy Mutt, Chitradurga - 577504
Kunigal
K Huraliborsandra, Gowdgere Post, Dhomratti Temple Road, Kunigal, Tumakuru District. - 572130
Bengaluru
36, KG Gollarapalya, Bolare (P), Kanakapura Road, Bengaluru - 560082
