Diseases
Subependymal Giant Cell Astrocytoma
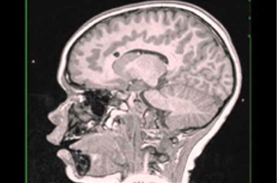
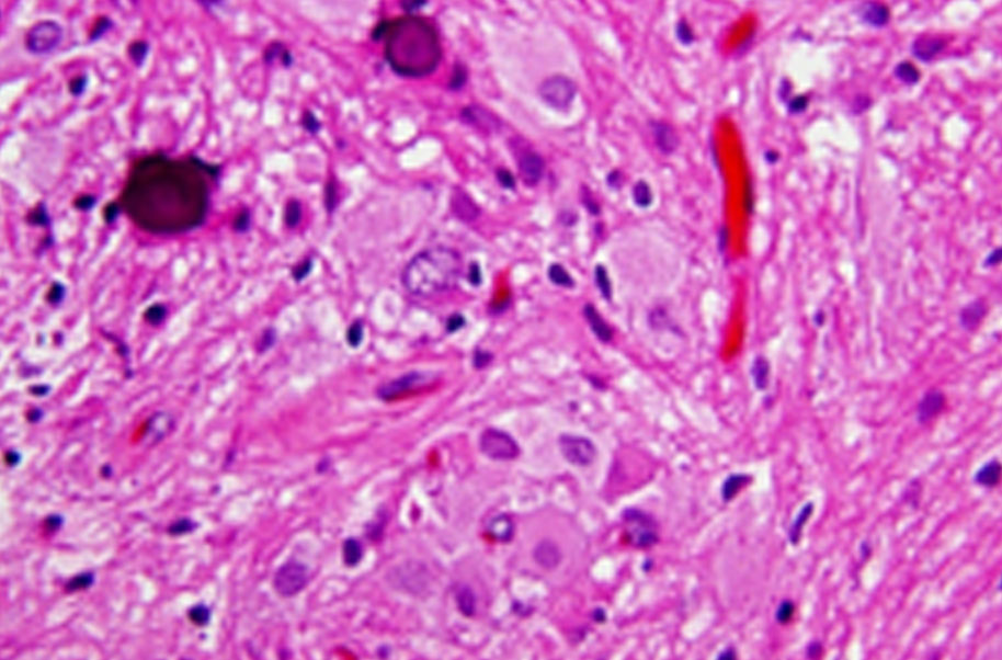
Subependymal giant cell astrocytoma (sega, sgca, or sgct) is a low-grade astrocytic brain tumor (astrocytoma) that arises within the ventricles of the brain. It is most commonly associated with tuberous sclerosis complex (tsc).
SYMPTOMS
Subependymal giant cell astrocytomas (sgcas or alternatively segas) are benign tumours (who grade i), seen almost exclusively in young patients with tuberous sclerosis. They can be either asymptomatic or symptomaticdue obstructive hydrocephalus, surgery treatment is oftencurative.
CAUSES
Severe constipation, blood impurity, less onsumption of water, lack of exercise, absence of oil bath, unhealthy life style.
Chitradurga
Seebara, Behind Indian Oil Petrol Bunk, Basavakumara Swamy Mutt, Chitradurga - 577504
Kunigal
K Huraliborsandra, Gowdgere Post, Dhomratti Temple Road, Kunigal, Tumakuru District. - 572130
Bengaluru
36, KG Gollarapalya, Bolare (P), Kanakapura Road, Bengaluru - 560082
