Diseases
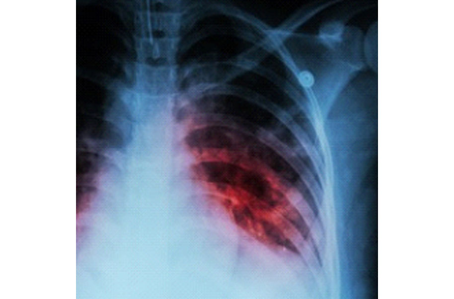
Tuberculosis
A highly contagious infection caused by the bacterium called mycobacterium tuberculosis. Abbreviated tb.
SYMPTOMS
Pain areas: in the chest, pain circumstances: can occur while breathing, cough: can be chronic or with blood, whole body: fatigue, fever, loss of appetite, malaise, night sweats, or sweating, also common: loss of muscle, phlegm, severe unintentional weight loss, shortness of breath, or swollen lymph nodes
CAUSES
Tuberculosis is caused by bacteria that spread from person to person through microscopic droplets released into the air. This can happen when someone with the untreated, active form of tuberculosis coughs, speaks, sneezes, spits, laughs or sings. Although tuberculosis is contagious, it's not easy to catch.
Chitradurga
Seebara, Behind Indian Oil Petrol Bunk, Basavakumara Swamy Mutt, Chitradurga - 577504
Kunigal
K Huraliborsandra, Gowdgere Post, Dhomratti Temple Road, Kunigal, Tumakuru District. - 572130
Bengaluru
36, KG Gollarapalya, Bolare (P), Kanakapura Road, Bengaluru - 560082
